
Dental Implants
          
        What Makes Implants So Stable?
          

You Deserve a Full, Healthy Smile Make It a Reality with Dental Implants
Thanks to innovations in modern dentistry, tooth loss does not have to affect your quality of life. Dental implants provide patients with a solution so similar to natural teeth that you can forget about tooth loss altogether. If you are ready to enjoy life more fully, with a healthy and functional smile, then get started on your treatment today. You can schedule a consultation with the dentist at our Downtown Edmonton, AB, office online or by calling:
(780) 428-6846
"If your jawbone has shrunk or if it has not developed normally, you may be able to have a bone graft to build up the bone." Canadian Dental Association
We Work With Dental Labs To Craft Your Custom Restorations
Precision Dental Labs
          
Pro-Aesthetic Artistry Dental Lab
          
Protec Dental Labs Vancouver
          Lifelike Dental Restorations


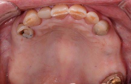
Dental Implant Candidacy
Jawbone Density
Patients must have sufficient bone tissue to support dental implants. If long-term tooth loss has affected your jaw density, we can offer a preparatory bone grafting procedure to replace lost tissue.
Tooth Decay and Gum Disease
Gum disease and other preexisting oral health conditions must be treated prior to implant placement. We may also recommend extractions if any of your remaining teeth are compromised by decay.
Overall Health
Certain medical concerns, like uncontrolled diabetes, autoimmune disorders, and smoking, can increase your risk of implant failure. Make sure to thoroughly discuss your medical history with our doctors to ensure you are healthy enough to undergo treatment.
"To be a candidate for a dental implant two criteria must be met. Your gum tissue should be healthy overall and there must be enough bone present to support the implant." Canadian Academy of Periodontology
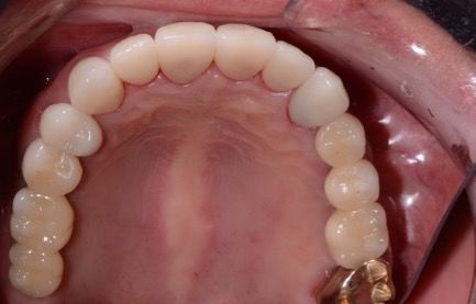
Dental Implant Treatment Timeline
Placing and restoring dental implants is a process that typically involves two surgeries over several months. Here is what you can expect when you undergo treatment at our practice in Downtown Edmonton, Alberta:
Ceramic artists handcraft your custom crown, bridge, or denture to your specifications.
"The entire procedure usually takes six to eight months. Most patients do not experience any disruption in their daily life." Canadian Association of Oral and Maxillofacial Surgeons
Restore Your Smile
Take the First Step Toward a Healthier Smile By Requesting a Dental Implant Consultation
If you suffer from tooth loss or need an extraction, dental implants are a solution worth considering. Implants can prevent jaw atrophy, replace missing teeth from the root to the chewing surface, and allow you to chew and speak properly.
DentaCare Group has served the Edmonton community by providing quality dental care since 1989. Our staff is dedicated to making your experience easy and comfortable, and we are here to answer all your questions about dental implants or other available treatments.
Learn more about dental implants by requesting a consultation or calling our office in Downtown Edmonton at:

Ensuring a Healthy Recovery
Although our team in Downtown Edmonton will provide you with detailed post-operative instructions before your procedure, it is important to familiarize yourself with what to expect after your surgery. In the hours after your surgery, you can expect some degree of:
- Swelling: You may apply an ice pack to ease discomfort and swelling. To help your gums heal faster, sleep with your head elevated
- Pain: Dr. Podilsky tries to make recovery as pain-free as possible. Most patients can alleviate discomfort with over-the-counter pain relievers and are ready to return to their normal routine after just one day.
- Bleeding: Avoid extremely hot foods and strenuous activities in the days following your procedure, as these can trigger bleeding.
Once you heal, you should care for your new tooth implants like the rest of your teeth, with daily flossing and brushing, as well as regular visits to the dentist. With proper care and maintenance, your dental implants may last for many years to come.
Regular dental checkups are important so your dentist can make sure that your bite is right and that your implants are not loose. Canadian Dental Association
          
        The Cost of Dental Implants
          
The cost of dental implants at our Downtown Edmonton, Alberta, practice typically runs about $1,700 to $2,300 per tooth.
In-House Financing We offer options to help make implants more affordable
Dr. Podilsky and his team can design an in-house payment plan through our dental office that suits your needs.
Get a Personalized Cost Estimate
Our dentists can give you a personalized estimate and a more accurate breakdown of your treatment costs during your consultation. At that time, please feel free to ask questions and discuss any budgetary concerns you have. We will be happy to assist you. Schedule your appointment at our Downtown Edmonton practice online or by calling:
(780) 428-6846

Dental Implant FAQs
Are dental implants safe?
Implants are safe only for qualifying patients. Make sure you are open and honest with our doctors about your medical history and all medications you take so we can accurately determine if the procedure is safe for you. As with any surgery, there are some risks associated with dental implants, including nerve damage, infection, and implant failure. However, complications are rare, and we do everything possible to prioritize your safety.
Do I have to be put under general anesthesia to get implants?
No. Most implant procedures can be performed under local anesthesia and mild sedation without patients falling asleep. Our Downtown Edmonton practice offers nitrous oxide and oral conscious sedation for patients who experience high anxiety or have difficulty sitting for long periods. If you require deeper sedation, we can coordinate that to ensure your comfort.
What sort of maintenance is involved once I receive a dental implant?
Dental implants require much of the same maintenance as natural teeth. Patients should practice proper brushing and flossing techniques and make regular visits to the dentist for checkups.
Are implants more expensive than traditional prosthetics?
Implant-supported restorations are more expensive than traditional restorations. However, you should consider dental implants an investment in your health and quality of life. Replacing missing teeth with dental implants prevents jawbone atrophy, gum recession, and other conditions, helping you avoid costly restorative procedures in the future. While insurance usually does not cover dental implants, we have financing options that make implants affordable.
Can you perform extractions and place implants in the same appointment?
Yes, we can. If your front tooth or teeth need to be extracted, in many cases we can immediately place implants after the tooth extraction. However, for many patients bone grafting will also be needed after the tooth is extracted.
Do you offer immediate placement of restorations?
We don't offer immediate restoration placement because of the risk. The likelihood of your implants failing increases when the restoration is placed immediately after your implant is inserted. We prefer to remove any factors that can increase the chance of implant failure, which is why we do not place the restorations until your implant has properly fused to your jawbone and healed.
If you have additional questions at any time during your treatment, you can send a message directly to our Downtown Edmonton office through our online form.







