Dental Crowns Edmonton
Restoring Smiles with Care and Precision
- Same-Day Crown Options
- Decades of Experience
- Personalized Treatment Planning
- Biocompatible Materials Available
We're Committed to Being Environmentally Conscious
We believe in supporting the environment, which is why we use VistaClear filtration systems at our Downtown Edmonton location to keep dental runoff from entering the public water system. We are also open to suggestions for other ways we can protect the environment.
Take the Next Step Toward a Stronger Smile Book Your Appointment Today
If you're experiencing discomfort, struggling with a damaged tooth, or simply want to improve your bite and appearance, a custom dental crown may be the solution. At DentaCare Group in Downtown Edmonton, we provide crown treatments that are thoughtfully planned and tailored to your specific oral health needs. Our team will walk you through each step, from initial consultation to final placement, and help you feel confident in your care.
Dr. Nathaniel Podilsky, Dr. Victor Spicer, and Dr. Victor Denysenko, offer both traditional and same-day crown options using durable, biocompatible materials selected for appearance, strength, and long-term comfort. Whether you're receiving a crown after a root canal or paired with a dental implant, you’ll receive attentive care in a welcoming, centrally located office.
Book a consultation at our Downtown Edmonton location and find out how dental crowns can restore both function and confidence to your smile.
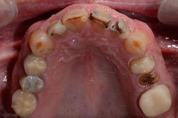
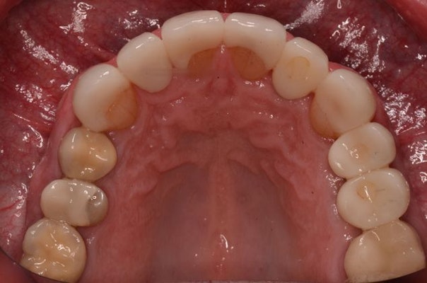
These photos showcase the results our patients can experience with dental crowns and other treatments. This patient received a mix of implants, crowns, and veneers to restore or replace missing teeth and ultimately enhance their smile.


Benefits of Dental Crowns
Protect Your Tooth
Our dentists will try to save your tooth if possible, but other treatments like fillings can only do so much. Traditional crowns offer a way to repair your tooth without extracting it.
Restore Function
Crowns are made to withstand the pressures of chewing and can restore the shape of your tooth so you can eat and speak naturally.
Strengthen Your Smile
By covering the remainder of your natural tooth, dental crowns can protect the exposed area of the tooth from further damage.
Improve Your Appearance
Along with returning function, dental crowns can cover tooth discolorations and fix the shape of your tooth to create a better-looking smile.
Combine With Other Treatments
We often combine dental crowns with other treatments like root canal therapy and implants to help restore our patients’ smiles.
Flexible Financing for Your Dental Crown Treatment
When dental crowns are considered medically necessary, insurance companies usually pay for a part of the cost depending on your specific plan. For those who don’t have insurance or patients who need a way to pay the remaining balance, we offer in-house financing. We also accept most major credit and debit cards.
What Are Dental Crowns?

Dental crowns are a restorative treatment that covers the visible part of your tooth with a “cap” to restore the shape and function of your tooth. Many patients receive crowns after going through a root canal or when they need to repair a broken tooth. In some cases, patients may need a crown to act as an attaching point for a dental bridge. Crowns are made to look like your natural teeth and can also cover aesthetic issues like stains or chips. You may be a good candidate for dental crowns if you have:
- Worn down or weakened teeth
- Received a root canal
- Are receiving a dental bridge
- Tooth damage that can’t be fixed with fillings
- Misshapen, cracked, or discolored teeth
While crowns are a great option for restoring one or more teeth, they may not be the best choice for everyone. Patients must have a relatively healthy tooth to receive a traditional crown since the tooth acts as the base for the treatment. We also need to address any ongoing oral issues before placing a dental crown.
Questions About Dental Crowns? We Are Here to Help
We understand that dental crown treatment may sound daunting, especially for our patients who suffer from dental anxiety. Our dentists can walk you through the process of receiving a dental crown and whether it's the best treatment for your unique circumstances. While our dentists can go into more depth on the topic during a consultation, we encourage you to ask questions and voice your concerns at any time.
Request a consultation to discuss dental crown procedures or call our office in Downtown Edmonton at:

“Crowns are strong and generally last for about 10 years or longer if you take good care of them.”
Restoring Teeth with Implant-Supported Crowns
Unlike traditional crowns that cover a tooth, implant-based crowns can restore missing teeth or replace a heavily damaged tooth that cannot be saved. These crowns attach to dental implants, titanium posts that act as artificial tooth roots.
Dental implants are the only restorative treatment to prevent jawbone deterioration, a natural result of missing teeth over an extended period of time. After the recovery period from the initial procedure, implant-based crowns tend to feel comfortable and secure like natural teeth.
However, patients must have healthy gums and jaws to receive this treatment. In some cases, patients may be able to receive a bone graft to become eligible for dental implant surgery.

Why Patients Love Same-Day Crowns with CEREC
Our office in Downtown Edmonton uses CEREC® technology to deliver faster and more convenient crown treatments compared to traditional methods. CEREC allows us to craft crowns in our office on the day of your procedure.
The traditional method of crown fabrication outsources the creation of your crown to an external lab, which can take several weeks to craft and ship a crown. During this time, you’d need to wear a temporary crown, which requires additional care and changes in the way you floss. A temporary crown may even fall out in rare circumstances.
By using CEREC, we can skip the temporary crown step and cement your permanent crown in place in a single visit to our Edmonton office.

“Crowns are made from various types of materials. Depending on which tooth needs a crown, your dentist will suggest a material, or combination of materials, that is right for you.”
Traditional Crown Procedure Timeline
In some cases, patients may need to wait until they recover from other essential treatments before receiving a dental crown. For other procedures like root canals, your dentist may recommend placing the crown as soon as possible to protect the tooth. If you need more than one procedure, our friendly Edmonton staff will work with you to create a treatment schedule.
Ready to Restore Your Smile? Request a Consultation Today
The team at DentaCare Group can restore the shape, function, and look of your smile. If you qualify for a crown, our in-house CEREC system can mill a custom restoration in as little as an hour.
Our doctors, Dr. Nathaniel Podilsky, Dr. Victor Spicer, and Dr. Victor Denysenko, will work closely with you to meet your unique needs. To request a consultation, contact us or call our office in Downtown Edmonton at:

"Crowns may not be as strong as your natural teeth. So like your natural teeth, remember not to bite down on hard objects or use your teeth to open or cut things."
Dental Crown Care and Maintenance Tips for Edmonton Patients
For the most part, you should not have to make any significant changes to your lifestyle to take care of your new dental crown. Crown patients should practice good dental hygiene and floss daily. The biggest change involves avoiding very hard foods like ice or popcorn kernels, which may crack some crowns. Our dentists will also address any teeth grinding issues and may suggest wearing a mouth guard at night to protect your crown.
Related Treatments
Root Canal Therapy
Root canal therapy cleans out the infection from inside a tooth by removing some of the inner tissue and roots. After filling and sealing the tooth, there may not be enough tooth structure left for it to remain functional. Dental crowns can help restore the tooth's strength and durability.




