Dental Implants: Case 62
Description
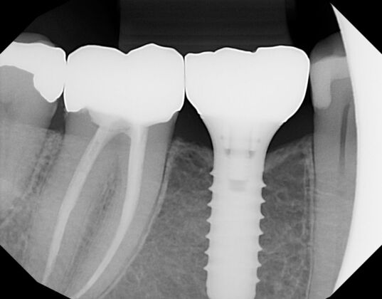
Implant with Zirconium crown and Emax crown
Implant with Zirconium crown and Emax crown
Dr. Nathaniel Podilsky, Dr. Victor Spicer, and Dr. Victor Denysenko are qualified to care for your smile:
To schedule your consultation, contact us online or call us today at (780) 428-6846.
