Dental Implants: Case 60
Description
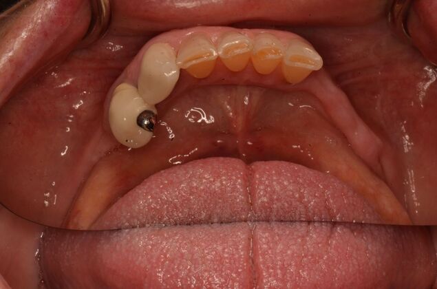
Lower denture supported by Locators on four lower implants.
Lower denture supported by Locators on four lower implants.
Dr. Nathaniel Podilsky, Dr. Victor Spicer, and Dr. Victor Denysenko are qualified to care for your smile:
To schedule your consultation, contact us online or call us today at (780) 428-6846.
