Dental Implants: Case 56
Description
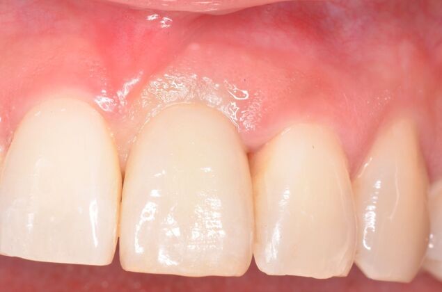
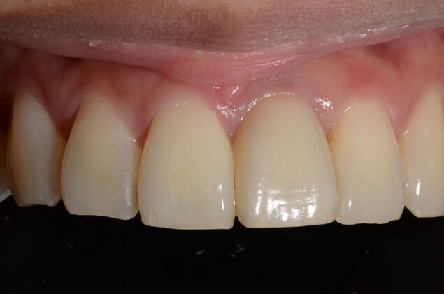
Patient fractured an upper front tooth. Tooth could not be saved. At the extraction appointment bone grafting and an implant was placed (immediate implant placement). This case is eight years old.
Patient fractured an upper front tooth. Tooth could not be saved. At the extraction appointment bone grafting and an implant was placed (immediate implant placement). This case is eight years old.
Dr. Nathaniel Podilsky, Dr. Victor Spicer, and Dr. Victor Denysenko are qualified to care for your smile:
To schedule your consultation, contact us online or call us today at (780) 428-6846.
