Dental Implants: Case 43
Description
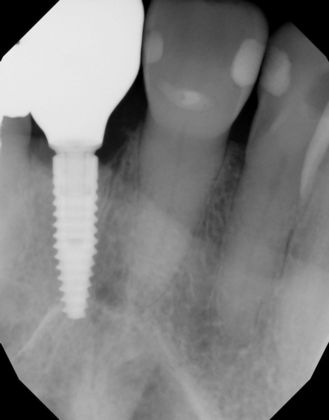
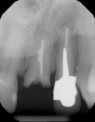
Upper front central incisor fractured and was replaced by an implant crown
Upper front central incisor fractured and was replaced by an implant crown
Dr. Nathaniel Podilsky, Dr. Victor Spicer, and Dr. Victor Denysenko are qualified to care for your smile:
To schedule your consultation, contact us online or call us today at (780) 428-6846.
