Dental Implants: Case 34
Description
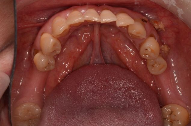
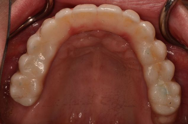
Lower implants, upper implants with full upper hybrid porcelain crowns
Lower implants, upper implants with full upper hybrid porcelain crowns
Dr. Nathaniel Podilsky, Dr. Victor Spicer, and Dr. Victor Denysenko are qualified to care for your smile:
To schedule your consultation, contact us online or call us today at (780) 428-6846.
