Dental Implants: Case 32
Description
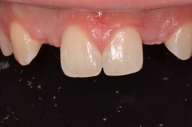
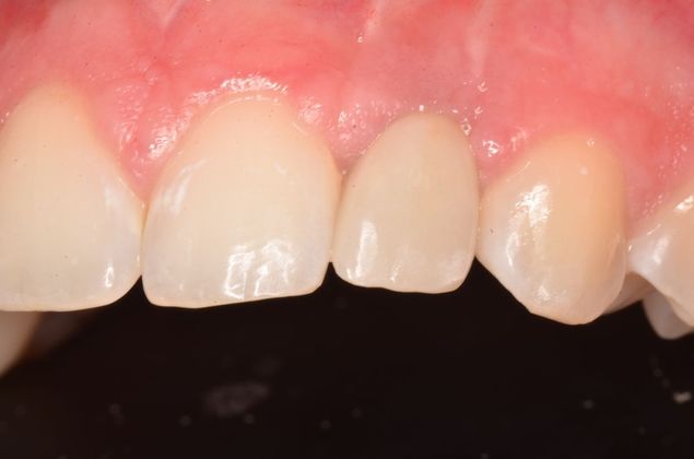
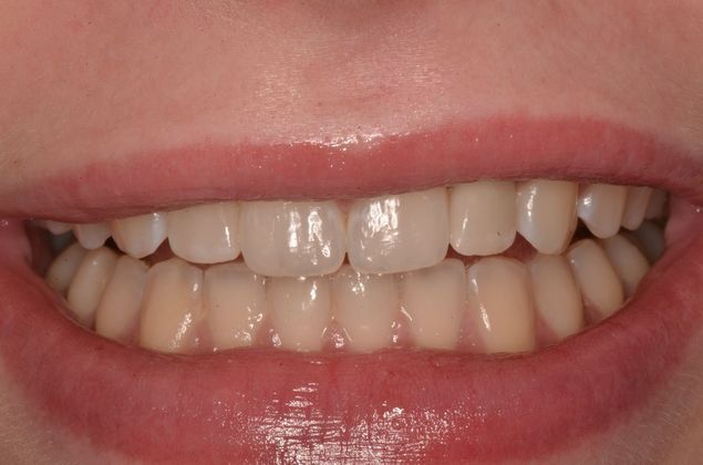
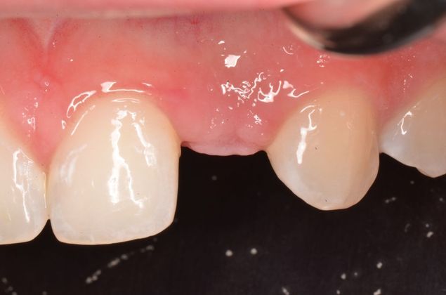
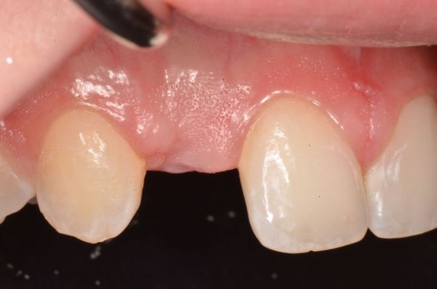
Patient had missing upper laterals. Orthodontics was done, followed by two implants and two implant cemented crowns.
Patient had missing upper laterals. Orthodontics was done, followed by two implants and two implant cemented crowns.
Dr. Nathaniel Podilsky, Dr. Victor Spicer, and Dr. Victor Denysenko are qualified to care for your smile:
To schedule your consultation, contact us online or call us today at (780) 428-6846.
