Dental Implants: Case 3
Description
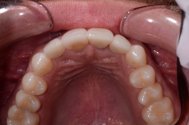
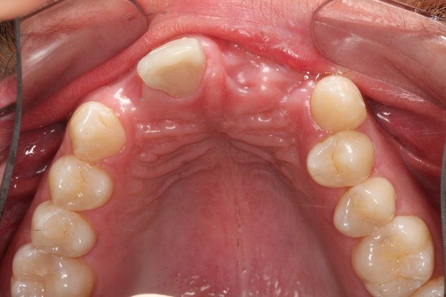
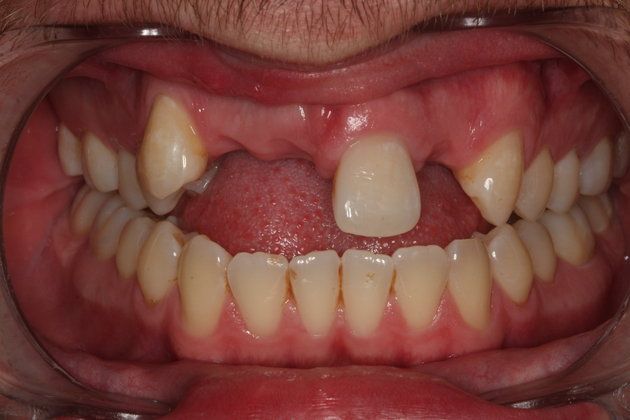
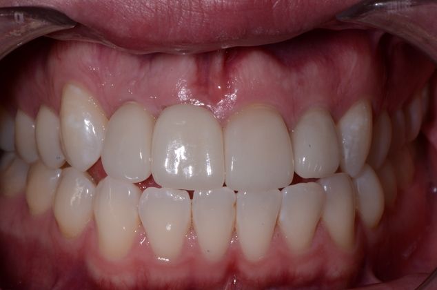
Three implants placed after an accident
Three implants placed after an accident
Dr. Nathaniel Podilsky, Dr. Victor Spicer, and Dr. Victor Denysenko are qualified to care for your smile:
To schedule your consultation, contact us online or call us today at (780) 428-6846.
