Dental Implants: Case 12
Description
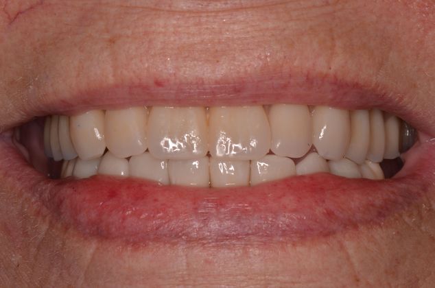
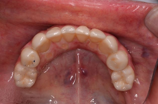
Patient wanted to transition from a lower denture supported by locators to a "screw retained" lower hybrid. This hybrid is made of porcelain and Zirconium on four lower implants
Patient wanted to transition from a lower denture supported by locators to a "screw retained" lower hybrid. This hybrid is made of porcelain and Zirconium on four lower implants
Dr. Nathaniel Podilsky, Dr. Victor Spicer, and Dr. Victor Denysenko are qualified to care for your smile:
To schedule your consultation, contact us online or call us today at (780) 428-6846.
