Dental Implants: Case 58
Description
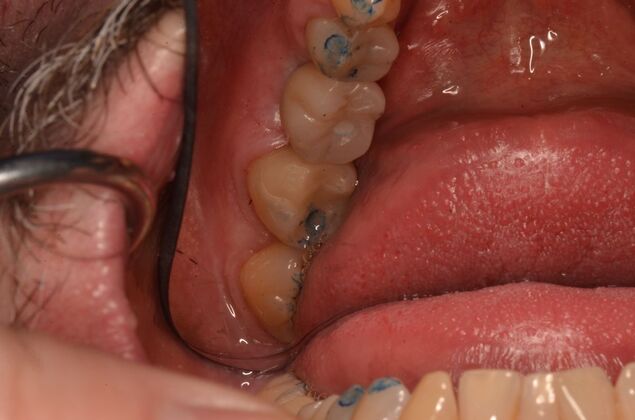
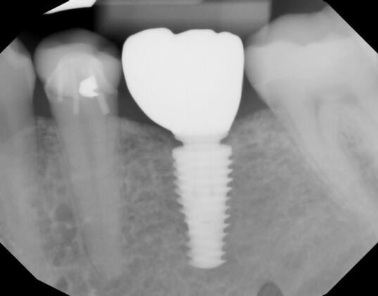
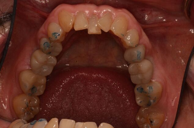
Patient lost lower first molars and required two lower implants with two lower screw retained crowns
Patient lost lower first molars and required two lower implants with two lower screw retained crowns
Dr. Nathaniel Podilsky, Dr. Victor Spicer, and Dr. Victor Denysenko are qualified to care for your smile:
To schedule your consultation, contact us online or call us today at (780) 428-6846.
