Dental Implants: Case 49
Description
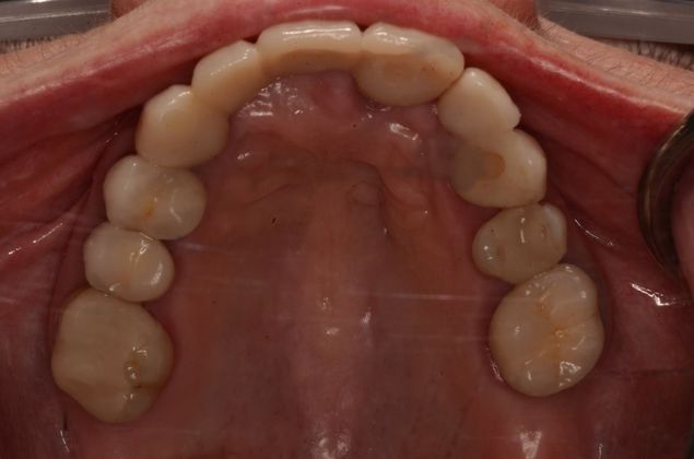
Two implants supporting a Porcelain bridge
Two implants supporting a Porcelain bridge
Dr. Nathaniel Podilsky, Dr. Victor Spicer, and Dr. Victor Denysenko are qualified to care for your smile:
To schedule your consultation, contact us online or call us today at (780) 428-6846.
