Dental Implants: Case 42
Description
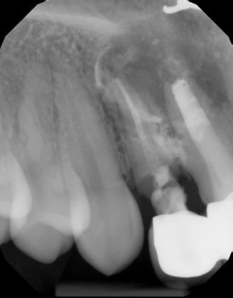
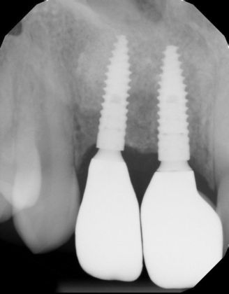
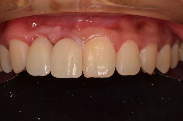
Two implants with crowns replacing infected root canals and old porcelain fused to metal crowns
Two implants with crowns replacing infected root canals and old porcelain fused to metal crowns
Dr. Nathaniel Podilsky, Dr. Victor Spicer, and Dr. Victor Denysenko are qualified to care for your smile:
To schedule your consultation, contact us online or call us today at (780) 428-6846.
