Dental Implants: Case 41
Description
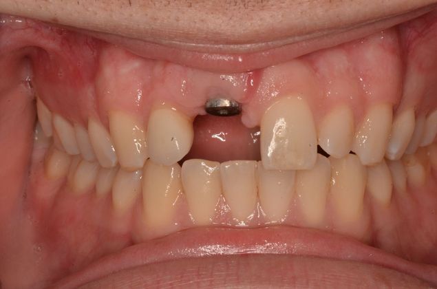
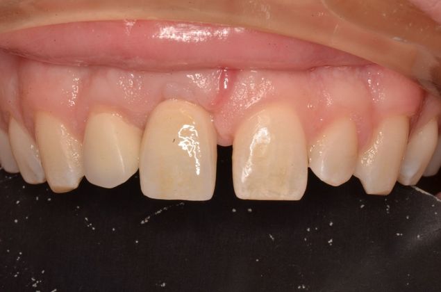
Replacing a missing upper central with an implant and a screw retained implant crown
Replacing a missing upper central with an implant and a screw retained implant crown
Dr. Nathaniel Podilsky, Dr. Victor Spicer, and Dr. Victor Denysenko are qualified to care for your smile:
To schedule your consultation, contact us online or call us today at (780) 428-6846.
