Dental Implants: Case 31
Description
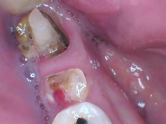
Patient had severely decayed and broken teeth replaced by dental implants
Patient had severely decayed and broken teeth replaced by dental implants
Dr. Nathaniel Podilsky, Dr. Victor Spicer, and Dr. Victor Denysenko are qualified to care for your smile:
To schedule your consultation, contact us online or call us today at (780) 428-6846.
