Dental Implants: Case 2
Description
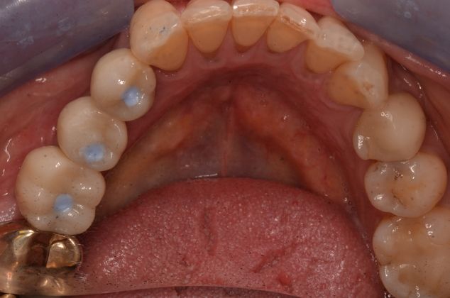
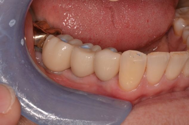
Three missing lower teeth replaced with implants and screw retained crowns.
Three missing lower teeth replaced with implants and screw retained crowns.
Dr. Nathaniel Podilsky, Dr. Victor Spicer, and Dr. Victor Denysenko are qualified to care for your smile:
To schedule your consultation, contact us online or call us today at (780) 428-6846.
